Human Embryo Logo

Human Embryo

Human Embryo Logo

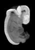
Carnegie Stage 19 (47 post-ovulatory days)



About Carnegie Stage 19

Most embryos at stage 19 are approximately 47-48 post-ovulatory days old and measure 17-20 mm in length. Distinguishing criteria for this stage include straightening of the trunk, the limbs extend nearly directly forward, toe rays are prominent, but interdigital notches have not yet appeared in the foot.

Although some of the photographs below show abnormal embryos, the animations and MRI slice images all depict normal embryos. Abnormal embryos are noted in the titles of the large photos when they are opened.

Photographs

Animations

MRI Slice Selector

Mouse: click on a line below to select a view
Finger: tap a line below with a very light touch